
桃園森美學牙醫
牙齒美白全攻略
冷光、噴砂、美白貼片怎麼選?
為什麼牙齒白很重要?
你的笑容,其實決定了第一印象
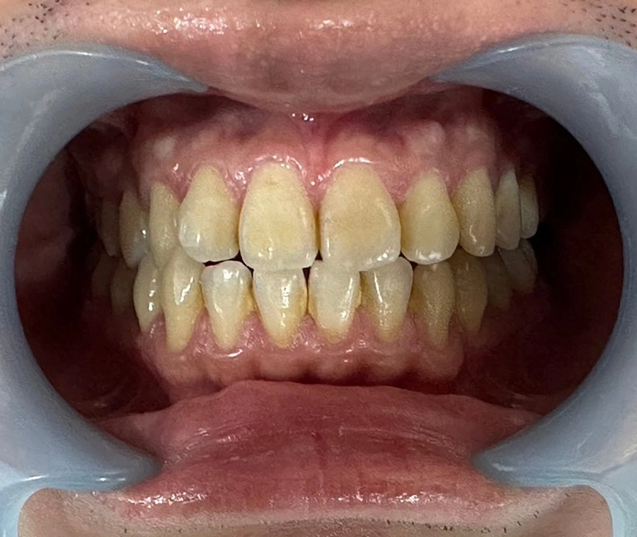
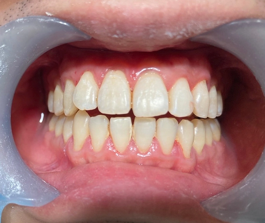
冷光美白 Before & After
在意微笑的第一印象嗎?其實,牙齒的色澤比我們想像中更影響整體氣質。
許多人即使每天刷牙,也難免因為飲食習慣(像是咖啡、茶、紅酒)或生活作息,
而讓牙齒逐漸變得偏黃、暗沉。這時候,專業的 冷光美白 就能帶來明顯的改變!
圖片中的對比效果

Before
牙齒表面顏色偏黃,看起來暗淡,
甚至讓笑容顯得不夠自信。

After
經過冷光美白處理後,整體牙齒明顯亮白,
色澤均勻,牙齒紋理清晰自然,笑容立刻更有光采!
為什麼選擇冷光美白?


為什麼選擇冷光美白?

適合誰?
小提醒
冷光美白效果雖然顯著,但仍需要後續的維護:

適合誰?
小提醒
冷光美白效果雖然顯著,但仍需要後續的維護:
透過冷光美白,不僅是牙齒變亮白,更是一種生活態度的展現。給自己一個全新的笑容,讓自信由內而外綻放!
噴砂美白 Before & After
牙齒會隨著日常飲食、抽菸或咖啡茶飲習慣,慢慢堆積牙漬與色素,讓笑容黯淡。
這時候,想要快速清除表面污漬、恢復牙齒自然色澤,噴砂美白就是一個理想選擇!
圖片中的對比效果

Before
牙齒表面附著明顯黃褐色沉積,
看起來暗沉。

After
經過噴砂美白後,牙齒上的色素被徹底清除,
恢復乾淨亮白,色澤自然明亮,笑容更清新。
噴砂美白的特色


適合族群
小提醒
噴砂美白就像是幫牙齒做了一次「深層清潔 SPA」,讓笑容重現純淨與自信。想要即刻亮白,不妨試試這項療程吧!

噴砂美白的特色

適合族群
小提醒
噴砂美白就像是幫牙齒做了一次「深層清潔 SPA」,讓笑容重現純淨與自信。想要即刻亮白,不妨試試這項療程吧!
牙齒美白療程大解析
想要笑容更自信?牙齒的亮白度是關鍵!不同的美白方式有不同特色,
以下幫你整理 冷光美白 與 噴砂美白 的效果對比,讓你找到最適合自己的選擇。
冷光美白(專業亮白升級)
效果對比:
- Before:牙齒偏黃、暗沉,笑容黯淡。
- After:牙齒明顯提亮,色澤自然均勻,展現晶瑩光澤。
特色:
- 藉由冷光照射催化美白劑,分解牙齒內部的深層色素。
- 短時間就能見效,效果顯著。
- 適合追求「全面亮白」的人。
適合族群:
想要牙齒比原本底色更亮白、準備婚禮、面試或重要場合前需要大幅提升形象的人。
噴砂美白(自然乾淨回歸)
效果對比:
- Before:牙齒表面有明顯茶垢、菸漬。
- After:色素沉積被清除,牙齒乾淨透亮,恢復自然本色。
特色:
- 利用細緻粉末與高壓水氣,清除牙齒表面色素。
- 溫和不傷琺瑯質。
- 適合需要「去除牙漬,恢復自然白」的人。
適合族群:
長期喝咖啡、茶、紅酒或有抽菸習慣,牙齒容易染色的人。
噴砂美白(自然乾淨回歸)
效果對比:
- Before:牙齒表面有明顯茶垢、菸漬。
- After:色素沉積被清除,牙齒乾淨透亮,恢復自然本色。
特色:
- 利用細緻粉末與高壓水氣,清除牙齒表面色素。
- 溫和不傷琺瑯質。
- 適合需要「去除牙漬,恢復自然白」的人。
適合族群:
長期喝咖啡、茶、紅酒或有抽菸習慣,牙齒容易染色的人。
冷光美白 vs 噴砂美白比較
|
項目 2951_bb471e-04> |
冷光美白 2951_7e2319-2a> |
噴砂美白 2951_c22a48-94> |
|---|---|---|
|
作用範圍 2951_f0681f-e6> |
深層色素(牙齒內部) 2951_c97062-6c> |
表面色素(茶垢、菸漬) 2951_6c30fa-c4> |
|
效果 2951_0a6f9f-f8> |
提亮數個色階,牙齒更白 2951_9f5f4d-6e> |
清除沉積,恢復自然色澤 2951_8178b0-28> |
|
見效時間 2951_9260a9-96> |
單次療程即可明顯變白 2951_726e69-56> |
治療後立即見效 2951_978965-d3> |
|
持久度 2951_e91778-39> |
搭配保養可維持更久 2951_4b987d-49> |
依飲食習慣而異,需定期維護 2951_a79f99-8f> |
|
適合族群 2951_cabf7d-2b> |
想要全面亮白的人 2951_1abddd-93> |
有表面色素困擾的人 2951_459d52-2f> |

小結
想「徹底提亮」→ 冷光美白
想「清除牙漬,回到自然乾淨白」→ 噴砂美白
兩者其實可以搭配,先噴砂去漬,再做冷光,效果更佳!

前牙美學貼片 Before & After

有些牙齒問題,單靠清潔或一般美白方式很難改善。像是牙齒先天色素沉澱、四環黴素染色、牙齒結構缺陷或大面積斑駁,這時候「美白貼片」就是最理想的選擇。
圖片中的對比效果
Before:前牙明顯有深色斑塊,牙齒表面顏色不均,影響整體笑容美感。
After:透過美白貼片修復後,牙齒色澤均勻、亮白自然,外型線條更整齊,笑容煥然一新。
美白貼片的特色


美白貼片的特色

適合族群
小提醒
美白貼片不只是單純的美白,更是「笑容整體設計」的一部分。
它能一次解決牙齒色澤、排列與形態的困擾,讓你重新擁有自然、明亮又自信的笑容。
牙齒美白全攻略
想要笑容更亮白?不同的美白方式有不同特色,
這裡整理了 冷光美白、噴砂美白、美白貼片 的效果與差異,幫助你找到最適合自己的選擇!

冷光美白(專業亮白升級)
- 效果:分解牙齒內部色素,讓牙齒整體提升數個色階。
- 適合族群:想要比原本更亮白,追求全面升級的人。
- 優點:短時間見效、效果顯著、色澤自然。
噴砂美白(清除表面牙漬)
- 效果:去除茶垢、菸垢、咖啡漬,恢復自然本色。
- 適合族群:有抽菸、常喝咖啡/茶/紅酒的人。
- 優點:立即見效、不傷琺瑯質,屬於溫和清潔型美白
前牙美學貼片(笑容整體改造)
- 效果:改善色素沉澱、牙齒斑駁或缺陷,兼顧美白與形態修復。
- 適合族群:四環黴素染色、牙齒缺陷或想一次改造笑容的人。
- 優點:效果持久、顏色均勻自然,能同時調整牙齒外型。
三種療程比較表
|
項目 2951_e32731-f5> |
冷光美白 2951_4824e9-f8> |
噴砂美白 2951_06acaa-24> |
前牙美學貼片 2951_a413bf-78> |
|---|---|---|---|
|
作用範圍 2951_660c2d-19> |
深層色素(牙齒內部) 2951_503e10-29> |
表面色素(茶垢、菸漬) 2951_e50cce-12> |
外觀全面修飾(色澤+形態) 2951_182293-09> |
|
效果 2951_bf03b4-07> |
提亮數個色階,牙齒更白 2951_8c25b9-10> |
清除沉積,恢復自然色澤 2951_518c1f-2c> |
立即亮白+修正形態 2951_64315c-65> |
|
見效時間 2951_2c2060-c2> |
單次療程即可明顯變白 2951_30edc8-20> |
治療後立即見效 2951_1b2aee-3e> |
貼片完成即可 2951_91a910-27> |
|
持久度 2951_f64a7a-a9> |
搭配保養可維持更久 2951_2852f8-34> |
依飲食習慣而異,需定期維護 2951_3401b3-7f> |
效果持續多年 2951_a6b65a-b5> |
|
適合族群 2951_293a1e-c5> |
想要全面亮白的人 2951_0c34c9-0f> |
有表面色素困擾的人 2951_a23469-16> |
色素沉澱嚴重或想笑容改造的人 2951_eed9c8-37> |

小結
想要 短時間提升亮白度 → 選 冷光美白
想要 去除牙漬、恢復自然色澤 → 選 噴砂美白
想要 一次解決色澤+外型問題 → 選 美白貼片






