
鄭醫師矯正案例分享
專業評估,量身打造您的自信笑容
齒列新生,笑容新境界
鄭醫師專業矯正,見證自信笑容的蛻變
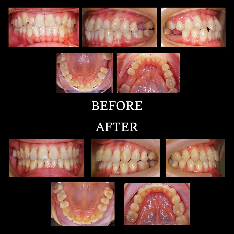
範例一
這位患者因 缺牙造成齒列縫隙,同時伴隨暴牙問題,不僅影響外觀笑容,也讓口腔咬合與清潔變得困難。
許多人面對缺牙時,第一時間會想到需要植牙或假牙來補足缺失的牙齒,但這往往需要動手術,過程也伴隨一定的恢復期與不適。
在經過鄭士魁醫師專業評估後,鄭醫師選擇 透過矯正治療來關閉縫隙,把原本不整齊且外凸的牙齒重新排列,將缺牙造成的空間自然收合。
這樣的方式不僅能同時改善暴牙問題,讓臉型線條更加協調,也免去了植牙的手術痛苦與後續照護困擾。
經過治療後,患者的齒列更加整齊緊密,門牙不再外凸,側臉線條自然順暢,笑容也變得更自信。
這是一個藉由矯正同時解決缺牙與暴牙雙重困擾的成功案例,展現了個人化治療設計的優勢。
範例二
這位年輕患者因為 牙弓空間不足,導致虎牙(犬齒)沒有足夠的地方萌出,只能卡在齒列外側,形成擁擠與凌亂的牙齒排列。
若長期放任,除了影響微笑美觀,也會造成清潔困難,增加蛀牙與牙周問題的風險。
鄭士魁醫師在評估後,選擇把握患者正值生長發育的黃金時期,利用矯正器將牙弓慢慢擴展並排列整齊,為虎牙創造出合適的空間。
這樣的方式避免了拔牙,並成功將虎牙拉回正常齒列之中。
經過治療後,虎牙順利排列回到應有的位置,上下咬合也更協調,臉型側貌線條更加順暢。孩子露出整齊牙齒的笑容時,自信與活力也明顯提升。這是一個 善用成長期進行矯正、達到功能與美觀雙贏的經典案例。
範例三
這位患者因嚴重暴牙與牙齒擁擠,造成許多區域無法正確清潔,久而久之導致多處齲齒(蛀牙)發生,牙齒外觀及功能都受到明顯影響。由於咬合不正,進食不便,加上笑容中齒列參差不齊,也影響到整體自信心。
在完整的評估後,鄭士魁醫師先進行全口矯正治療,將凌亂擁擠的牙齒重新排列,建立良好的齒列與咬合關係。這不僅改善了外觀與暴牙問題,也讓原本清潔不到的死角消失,口腔衛生狀況大幅提升。
完成矯正後,患者的牙齒位置更為整齊、咬合穩定,後續即可進行 牙冠製作與修復治療,將因蛀牙受損的牙齒補強保護,恢復完整的功能與美觀。
最終,患者不僅獲得了整齊的笑容,也讓口腔健康邁向長期穩定,這是一個矯正與修復治療互相結合,從根本改善問題的典型案例。
















